1. Rappels anatomiques

Sur ces vues on voit bien la proximité avec le duodénum, l’estomac et le colon transverse, qui contribuent à rendre l’examen du pancréas difficile échographiquement.
Il conviendra bien de stipuler les parties vues et non vues du pancréas, et de rester méfiant sur l’interprétation de votre examen. L’échographie est au mieux un examen de dépistage d’une lésion pancréatique au cours d’un examen plus général, toute anomale observée doit faire l’objet d’un complément d’imagerie en coupe.
Le pancréas
Organe rétropéritonéal, d’orientation oblique ascendant vers la gauche (important pour retrouver le grand axe).
Il est constitué de plusieurs parties:
La tête, caput, limitée par le duodénum à droite, et la veine porte/veine mésentérique supérieure à gauche;
Le processus unciforme ou uncinatus, portion inférieure de la tête, qui peut être d’exploration difficile.
L’isthme du pancréas, collum, au contact de du confluent spléno-mésaraïque sur sa face postérieure.
Le corps du pancréas, corpus, en avant de l’artère mésentérique supérieur de l’aorte, il s’étend jusqu’au bord latéral de L2.
La queue du pancréas, cauda, s’étendant vers le hile splénique, en contact avec la surrénale et le rein gauche et la veine splénique. La veine splénique suit un trajet postérieur puis postéro supérieur à la queue du pancréas.

Les rapports vasculaires sont essentiels pour bien repérer le pancréas, sur la vue ci-contre on voit bien la veine splénique qui est collée à la face postérieure du pancréas. Celle ci deviens le confluent spléno-mésaraïque en se joignant à la veine mésentérique inférieure, puis le tronc porte en rejoignant la veine mésentérique supérieure. On verra également l’artère mésentérique supérieure et l’aorte postérieurement au pancréas. (A noter que contrairement au schéma le confluent spléno-mésaraïque est généralement en avant de l’artère mésentérique.)
La veine cave inférieure passe juste sous la tête du pancréas.

2. Examen échographique.
Coupe du grand axe du pancréas
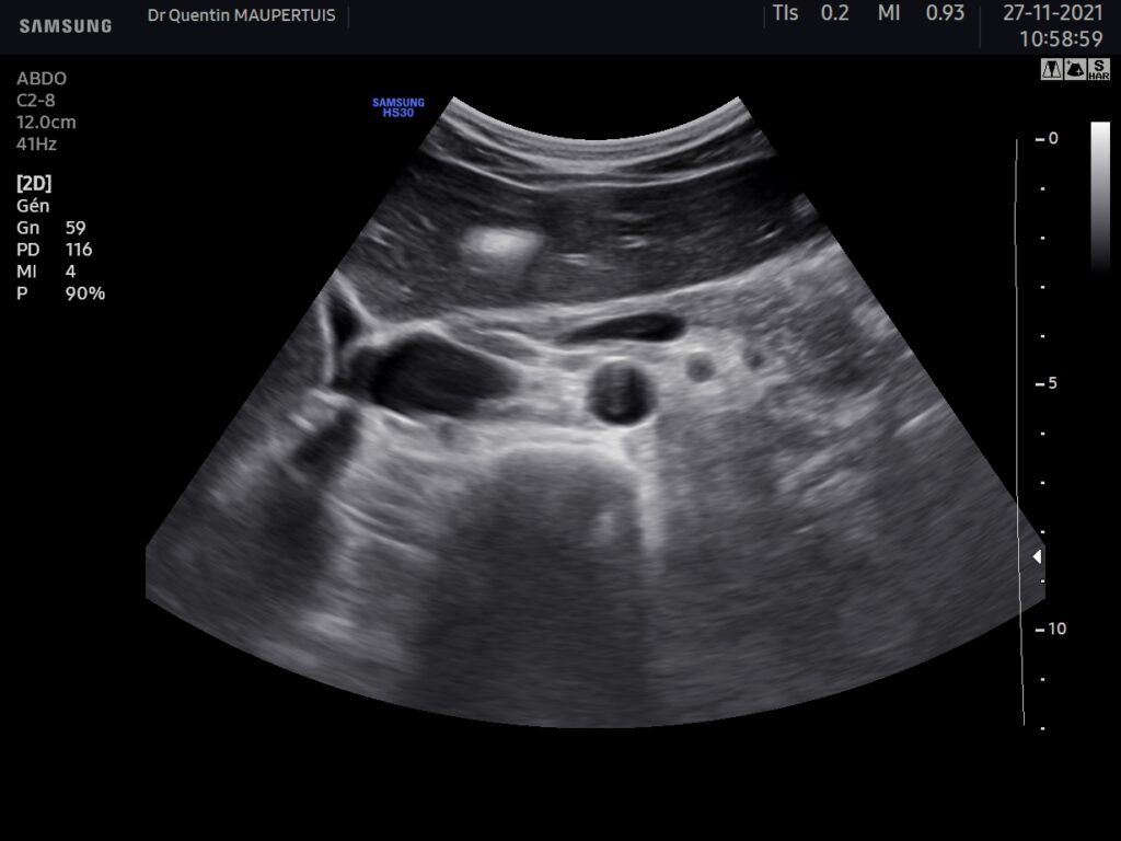
On repérera le pancréas sur une incidence axiale en s’aidant des repères fournis par les gros vaisseaux, idéalement par la veine splénique et le tronc spléno-mésaraïque permettant de l’identifier à coup sûr.
Une fois repéré on inclinera légérement la sonde pour s’aligner sur le grand axe (ascendant à gauche).
Sur les coupes de droites on identifie à coup sur le pancréas grâce à l’aspect caractéristique du confluent spléno-mésaraïque (CSM) et aux vaisseaux sous jacents : La VCI en arrière de la tête du pancréas, naissance de laveine rénale gauche (VRG) qui passe dans la pince Aorto(Ao)-mésentérique(AMS), lui donnant cette aspect dilaté en amont.
Une fois repéré il s’agira de balayer la glande à la recherche d’une anomalie focale.
On pourra également repérer le canal de wirsung, à l’état physiologique visualisé comme une double ligne hyperéchogène :





C’est une coupe qui permettra également l’identification et la mesure de la voie biliaire principale dans la tête du pancréas, à ne pas confondre avec l’artère gastro duodénale visible en avant de la voie biliaire principale.


Coupe sagittale du pancréas.
Le plus simplement obtenue en identifiant la glande en coupe axiale et en faisant une rotation de sonde horaire de 90°.
Permet un balayage de la glande orthogonal au premier pour confirmer une anomalie détecter ou détecter une anomalie qui n’aurait pas pu être vue sur le premier balayage.
On retrouvera le pancréas (4) en avant de l’aorte (1) et de l’artère mésentérique supérieure (2) qui prend naissance juste en dessous du tronc coeliaque (3).
Juste à la face postérieure du pancréas on observe la fusion du confluent spléno-mésaraïque et de la veine mésentérique supérieure (5).
6 : Foie.
Pathologie du pancréas
L’échographie permettra de recherche une cause d’obstacle à une obstruction de la voie biliaire principale, de recherche une dilatation des voies biliaires intra pancréatique et de rechercher un phénomène de masse pancréatique.
Toutefois les capacités de l’échographie pour l’exploration du pancréas restent très limitées et une suspicion de pathologie pancréatique ou une anomalie aperçue en échographie sera explorée par imagerie en coupe.

Galerie pancréas.










